Magnetic Bead-based Paraffin-embedded Tissue RNA Extraction Kit., 50 T (for Nucleic Acid Extraction)

คุณสมบัติสินค้า:

SKU : G3614-50T

แบรนด์ : Servicebio

Share

Product Information

Product Name

Cat. No.

Spec.

FFPE RNA Purification Kit with Magnetic Beads

G3614-50T

50T

 


Product Description/Introduction

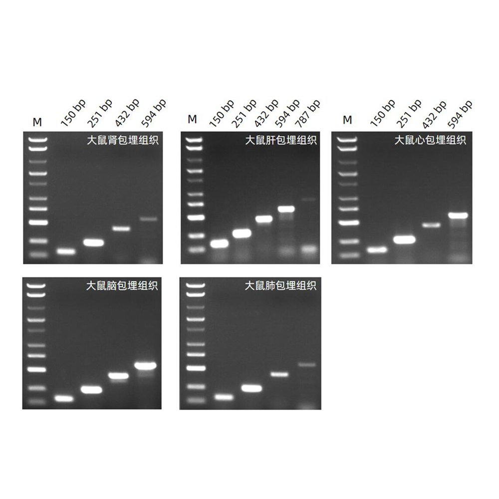
The FFPE RNA Purification Kit with Magnetic Beads is designed for isolation of high quality total RNA from FFPE with unique magnetic particles technology and special buffer system. The specially optimized lysis buffers efficiently release RNA from FFPE sample and the unique magnetic beads have a strong affinity for nucleic acid under certain conditions, and when the conditions change, the magnetic beads will release the absorbed nucleic acid, so as to achieve the purpose of nucleic acid purification. It is safe and convenient that the whole process can be done in 1 hour and does not involve toxic reagents such as xylene. The extracted RNA fragments is stable and of high purity, could be applied in RT-PCR and RT-qPCR analysis and other molecular biology experiments.

 


Storage and Shipping Conditions

DNase and Proteinase K are shipped with wet ice, stored at -20; Other reagents are shipped and stored at room temperature; valid for up to 1 year.

 


Product Contents

Component Number

Component

G3614-50T

G3614-1

Buffer DP

30 mL

G3614-2

Buffer FRL

10 mL

G3614-3

Proteinase K

1 mL

G3614-4

Buffer MRB

10 mL

G3614-5

SweMag Beads

1.5 mL

G3614-6

DNase

500 μL

G3614-7

10×DNase Reaction Buffer

1 mL

G3614-8

Buffer RW1

8.5 mL

G3614-9

Buffer RW2

16 mL

G3614-10

Nuclease-free Water

10 mL

Manual

One copy

 


Before starting (please read carefully)

1. Please prepare water baths or metal baths at 80°C and 55°C in advance.

2. If a precipitate has formed in Buffer FRL or Buffer MRB, warm it at 65°C until the precipitate has fully dissolved.

3. Before first use, add 22 mL of absolute ethanol to Buffer RW1, add 64 mL of absolute ethanol to Buffer RW2 and mix well separately.

4. Please prepare fresh DNase working reagent before use.

5. Magnetic stands,and absolute ethanol are required but not supplied in this kit.

 


Assay Protocol / Procedures

1. Samples preparation:

a. Paraffin section: take 5-8 pieces of paraffin sections (surface area of 1x1 cm2), scrape with a sterilized scalpel and collect tissue fragments.

b. Paraffin block: use a scalpel to cut around 30 mg tissue sample (trim excess paraffin off the sample block). Note: if the sample surface has been exposed to air, discard the first 2-3 sections.

c. Samples embedded in formalin: suck up the liquid on the surface of the tissue with filter paper, use a scalpel to cut 30 mg sample into pieces, and place in a 1.5 ml centrifuge tube. Add 500 µL PBS (10 mM, pH 7.4), vortex to mix, then centrifuge at 12,000 rpm for 1 minute at room temperature, discard the supernatant. Repeatly wash three times.

2. Transfer the sample to a 1.5 mL centrifuge tube, add 500 μL of Buffer DP to the sample, incubate at 80 for 3 minutes, immediately vortex for 10 s.

3. Add 200 μL Buffer FRL to the sample, vortex to mix, and centrifuge at 12,000 rpm for 1 minute at room temperature (The solution forms two layers :the upper layer -the oil phase and the lower layer -the aqueous phase).

4. Add 20 μL of Proteinase K to the lower aqueous phase, gently pipette and mix well (try not to break the layer) and incubate at 55 for 15 minutes.

5. Incubate at 80°C for 15 minutes,(If there is only one heating module, cool the centrifuge tube containing the sample to room temperature first, and then, place the centrifuge tube into the heating module until the temperature reaches 80°C), mix well by upside and down.

6. Centrifuge at 12,000 rpm for 5 minutes at room temperature ,the solution forms two layers (the upper layer -the oil phase and the lower layer -the aqueous phase).

7. Transfer carefully the aqueous layer solution to a new 1.5 mL centrifuge tube (Do not pipet the upper oil phase solution and other impurities),, add equal aqueous volume of Buffer MRB and 3 times the volume of aqueous phase of absolute ethanol (precipitation may occur), mix well by pipetting;

8. Add 30 μL of SweMag Beads to the mixture (SweMag Beads must be fully resuspended and evenly distributed prior to use), and mix well with pipette.

9. Stand at room temperature for 5 minutes and mix well with pipette or votex mixer every 2-3 minutes to help SweMag Beads evenly distributed.

10. Place the centrifuge tube on a magnetic stand for 30 seconds. When the magnetic beads are completely attached, carefully discard the supernatant with a pipette (To avoid lower recovery rate, do not aspirate the magnetic beads). Remove the tube containing the pelleted magnetic beads from the magnetic stand.

11. Prepare DNase working reagent: add 5 μL of DNase to 5 μL 10X DNase Buffer and 40 µL RNase-free Water for a total of 50 μL in a new 1.5 mL RNase-free centrifuge tube. Mix by gently pipetting up and down several times.

12. Pipet all 50 μL of the DNase mixture to the centrifuge tube containing the sample, Incubate at room temperature for 15 minutes.

13. Add 500 µL of Buffer RW1 and pipet up and down gently to resuspend the magnetic beads. And then place the tube on a magnetic stand for 30 seconds. When the magnetic beads are completely attached, carefully discard the supernatant with a pipette (To avoid lower recovery rate, do not aspirate the magnetic beads).

14. Remove the tube containing the pelleted magnetic beads from the magnetic stand, add 600 µL of Buffer RW2 and pipet up and down gently to resuspend the magnetic beads. And then place the tube on a magnetic stand for 30 seconds. When the magnetic beads are completely attached, carefully discard the supernatant with a pipette (To avoid lower recovery rate, do not aspirate the magnetic beads).

15. Repeat step 14.

16. Open the centrifuge tube lid, leave it at room temperature for 5-10 minutes to ensure complete evaporation of residual ethanol and other liquids. (Do not allow them to dry out as this renders them non-functional.)

17. Remove the magnetic stand, add 50100 μL Buffer TE or Nuclease-free Water and pipet up and down gently to resuspend the magnetic beads, stand at room temperature for 3 minutes.

18. Place the tube on a magnetic stand to collect the beads against the side of the tube, then aspirate the supernatant to a new centrifuge tube. The supernatant contains the purified RNA.

 



Note

1. Please read the Product Manual carefully before use.

2. The DNA yield and integrity of the DNA fragment extracted from this kit depends on the sample type, fixed time, fixed conditions, and sample storage. Use a fixation time of 8-24 hours (longer fixation time lead to more severe DNA fragmentation, resulting in poor performance in downstream assays).

3. Thoroughly dehydrate samples prior to embedding, residual formalin can inhibit PCR reaction.

4. Treat samples embedded in formalin, excess paraffin should be removed. And chop up the sample and the sampling amount should not exceed 30 mg, otherwise it is easy to cause incomplete lysis and low  DNA yield.

5. Do not freeze the beads as this irreparably damages them.

6. Always keep the beads in solution. Do not allow them to dry out as this renders them non-functional.

7. When using the beads, resuspend thoroughly in the storage buffer by vortexing before removal.

8. Ethanol should be completely evaporate before plasmid DNA elution due to residual ethanol affecting downstream experiments.

9. When the purified DNA as a PCR amplification template, it is recommended to do a template concentration gradient test first to optimize your experiment.

10. For your safety and health, please wear safety glasses, gloves, or protective clothing.

For Research Use Only!


https://www.servicebio.com/goodsdetail?id=29821

เว็บไซต์นี้มีการใช้งานคุกกี้ เพื่อเพิ่มประสิทธิภาพและประสบการณ์ที่ดีในการใช้งานเว็บไซต์ของท่าน ท่านสามารถอ่านรายละเอียดเพิ่มเติมได้ที่ นโยบายความเป็นส่วนตัว  และ  นโยบายคุกกี้