PAS+naphthol yellow Stain, 100 mL×3 (for Plant sample staining)

คุณสมบัติสินค้า:

SKU : G1068-100ML

แบรนด์ : Servicebio

Share

Product Information

Product Name

Cat.No.

Spec.

 PAS+Naphthol Yellow S Staining Solution

G1068-100ML

3×100 mL

 

Description

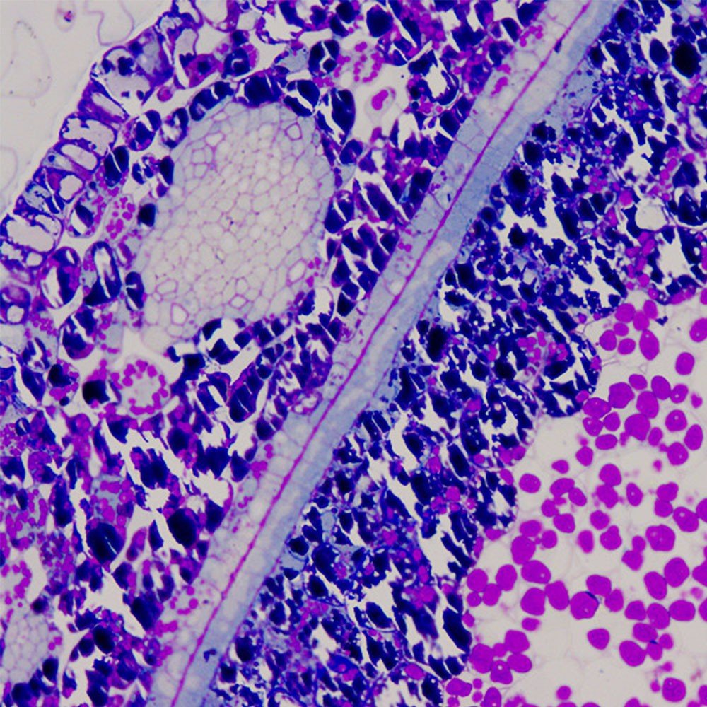
This product is used to stain protein and starch grains in plant tissues. Under the action of periodate acid, starch in plant tissue and carbohydrate in cell wall exposed aldehyde group, aldehyde group combined with Schaffer reagent to produce red reaction, that is, PAS staining. Proteins in plants are often stored in plant cells in the form of aleurone granules, which are solid and surrounded by a membrane to form spheroidal granules. Naphthol yellow S reacts with proteins to produce yellow reactions. Therefore, PAS staining combined with naphthol yellow can simultaneously display starch grains and proteins in plant tissues. After staining, plant starch granules are purplish red, cell walls are purplish red, and proteins appear yellow.

Storage and Handling Conditions

Wet ice transportation;  Keep away from light, in which the PAS dye solution A should be stored at 4, and the rest of the reagents can be stored at room temperature, and the validity period is 12 months. Component

Component Number

Component

G1068-100ML

G1068-1

PAS dye solution A

100 mL

G1068-2

PAS dye solution B

100 mL

G1068-3

Naphthol yellow S dye solution

100 mL

 

Assay Protocol

1. Paraffin sections are dewaxed to water.

2. Immerse the slices in PAS dye B for 10 min, and soak them in pure water for 3 times, 10 s each time.

3. The slices were immersed in PAS dye A (recovered to room temperature in advance) for 20-30 min in dark, washed with running water for 5 min, and microscopic examination showed that the cell wall and the starch granules in the cells were purple red.

4. The slices were immersed in the Naiphenol Yellow S dye solution for 5 min, washed quickly with distilled water for 2 s, and dehydrated quickly with three cylinders of absolute ethanol for 3 s, 5 s, and 30 s respectively.

5. The slices were transparent with xylene for 5 min and sealed with neutral gum.

Note:

1. PAS dye solution B can be reused. The dye solution is transparent, and should be replaced with a new dye solution if it shows obvious yellow color, has impurities, or is too light in tissue staining.

2. The PAS dye solution A should be stored at 4, and then taken out and restored to room temperature before use. When the color of the solution is obviously red, it is recommended to replace the new dye.

3. Each set of staining solution can be used to stain approximately 400 sections. Replace the stain with a new one when the tissue or cell coloring is significantly lighter or abnormal.

4. Protein coloring is easy to fade, and the sections cannot be stored for a long time. It is recommended to observe and take photos as soon as possible to save the results.

5. Wear a lab coat and disposable gloves during operation.

For Research Use Only!

https://www.servicebio.com/goodsdetail?id=1797

เว็บไซต์นี้มีการใช้งานคุกกี้ เพื่อเพิ่มประสิทธิภาพและประสบการณ์ที่ดีในการใช้งานเว็บไซต์ของท่าน ท่านสามารถอ่านรายละเอียดเพิ่มเติมได้ที่ นโยบายความเป็นส่วนตัว  และ  นโยบายคุกกี้